
儿童淋巴结肿大
的诊断标准

淋巴结肿大是儿科常见的临床问题,病因复杂,鉴别困难易误诊。为规范并提升我国儿童淋巴结肿大的诊疗水平,相关专家制订了“儿童淋巴结肿大临床诊治专家共识(2026)”。淋巴结广泛分布于全身,是外周重要的免疫器官,持续应对环境中病原体等抗原的刺激,常造成反应性肿大。尽管大多数病例为良性或自限性,对潜在的严重病因,如不典型病原体感染、肿瘤等,应保持高度警惕。
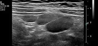
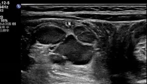
超声作为评估淋巴结最便捷、最直观的检查,能够快速评估淋巴结的形态、结构和血流特征。


淋巴结作为外周免疫系统的核心,由皮质、髓质和包膜3部分组成,广泛分布于颈部、腋窝、腹股沟等淋巴回流区域。根据解剖位置,可分为易触及的浅表淋巴结和难触及的深部淋巴结。儿童淋巴结大小的评估应综合年龄、解剖部位等进行个体化判断。当颈部淋巴结长径>20mm或短径>10mm时;腋窝淋巴结短径>8mm;滑车上淋巴结>5mm;肠系膜区域淋巴结长径>15mm或短径≥8mm或同一超声切面显示有3个或更多聚集时,即可诊断。



